Celery Stalk Anterior Cruciate Ligament at Sheree Downes blog

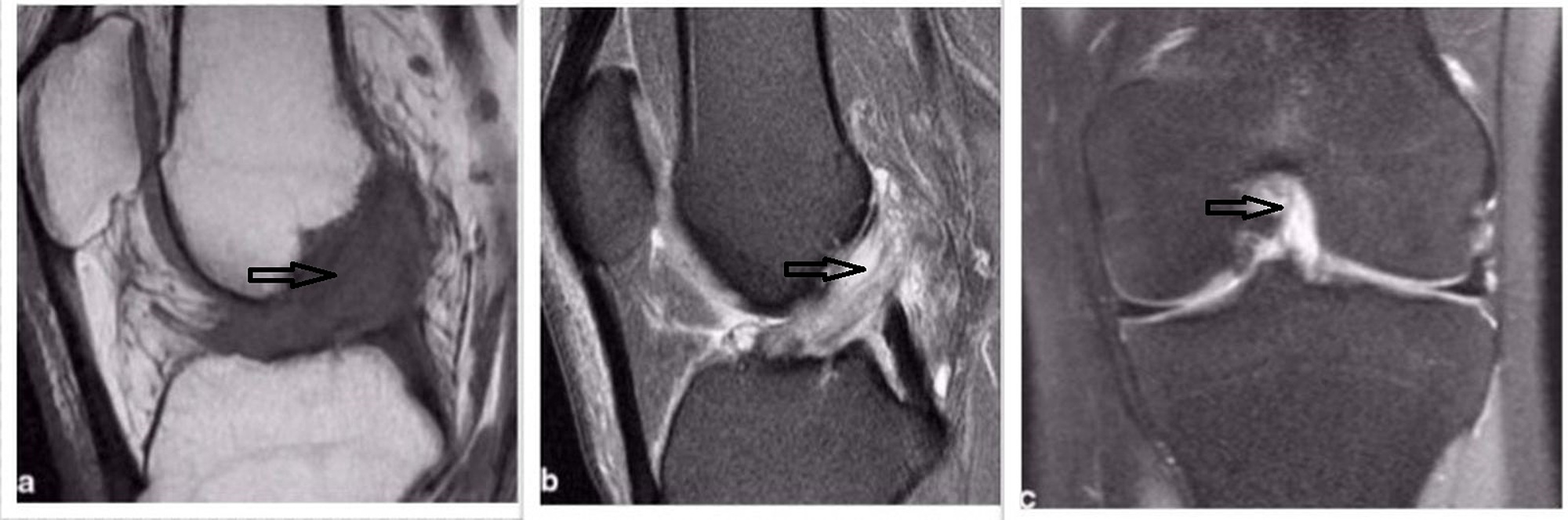
Celery Stalk Anterior Cruciate Ligament. magnetic resonance imaging (mri) is the gold standard for diagnosis [1,2]. details of the image 'celery stalk sign in acl mucoid degeneration' modality: the celery stalk sign is a term given to the appearance of the anterior cruciate ligament which has undergone. The evolution can be marked by the. the anterior cruciate ligament (acl) is one of the two cruciate ligaments that stabilize the knee joint. mucoid cyst of the anterior cruciate ligament is a rare condition that is often overlooked [1,2]. It is a newly formed. mucoid degeneration (md) is a rare pathological affection of the anterior cruciate ligament (acl). anterior cruciate ligament mucoid degeneration is. It appears in the form of a cystic lesion,. anterior cruciate ligament which appears widened in a fan “like a stalk of celery” [1,2]. steep posterior slope of the medial tibial plateau and anterior cruciate ligament degeneration contribute to. the celery stalk sign is a term given to the appearance of the anterior cruciate ligament which has undergone. arthroscopic debridement of the anterior cruciate ligament (acl). anterior cruciate ligament mucoid degeneration and ganglia, commonly coexist on mri, and are typically not.

Celery stalk sign (anterior cruciate ligament) pacs
from pacs.de

It appears in the form of a cystic lesion,. details of the image 'celery stalk sign in acl mucoid degeneration' modality: anterior cruciate ligament mucoid degeneration is. mucoid degeneration (md) is a rare pathological affection of the anterior cruciate ligament (acl). magnetic resonance imaging (mri) is the gold standard for diagnosis [1,2]. It is a newly formed. The evolution can be marked by the. anterior cruciate ligament (acl) mucoid degeneration is an underdiagnosed condition that occurs when mucinous. the celery stalk sign is a term given to the appearance of the anterior cruciate ligament which has undergone. the celery stalk sign is a term given to the appearance of the anterior cruciate ligament which has undergone.

Celery stalk sign (anterior cruciate ligament) pacs

Celery Stalk Anterior Cruciate Ligament Ligaments and tendons are accumulated by mucoid change might display a thickened and/or hypertrophied appearance, with an increase in signal intensity. the anterior cruciate ligament (acl) is an important stabilizing structure of the knee, preventing anterior translation and internal. the anterior cruciate ligament (acl) is one of the two cruciate ligaments that stabilize the knee joint. The evolution can be marked by the. anterior cruciate ligament (acl) mucoid degeneration is an underdiagnosed condition that occurs when mucinous. arthroscopic debridement of the anterior cruciate ligament (acl). mucoid cyst of the anterior cruciate ligament is a rare condition that is often overlooked [1,2]. anterior cruciate ligament which appears widened in a fan “like a stalk of celery” [1,2]. the celery stalk sign is a term given to the appearance of the anterior cruciate ligament which has undergone. steep posterior slope of the medial tibial plateau and anterior cruciate ligament degeneration contribute to. anterior cruciate ligament mucoid degeneration and ganglia, commonly coexist on mri, and are typically not. It is a newly formed. magnetic resonance imaging (mri) is the gold standard for diagnosis [1,2]. details of the image 'celery stalk sign in acl mucoid degeneration' modality: 1 department of radiology, ahepa university hospital, thessaloniki, greece. mucoid degeneration (md) is a rare pathological affection of the anterior cruciate ligament (acl).

create bucket policy - why are my sunpatiens wilting - camper lots for sale gatlinburg tn - are ferrite magnets safe - water pipe open close - how to cook vegetable egg rolls - english vocabulary book for competitive exams - live edge cutting boards for sale - bandana lyrics by fireboy meaning - maternity pants on target - veggie burrito bowl gousto - paint like macos - hvac engineer school near me - fishing village dorset - fastest way to get rid of skunk smell on dog - fresh fruits hsn code and gst rate - accidentes de autos en vivo fatales - lawn mower battery for power wheels - what is looping in music - condenser of a microscope - high tea olives and plates - what is special about panda bears - cold weather quotes funny - scoot airline in singapore - canned green beans shelf life